YntraDose brings nuclear medicine directly to the tumour – a new approach to pancreatic cancer therapy
BetaGlue Therapeutics is pioneering targeted nuclear therapies for solid tumours. By combining biotechnology, nuclear science, and interventional oncology, we are advancing precision radiotherapeutics that deliver radiation directly where it matters most — inside the tumour. YntraDose, our solution, is designed to transform pancreatic cancer treatment through localized, effective, and safe therapy.
BetaGlueTherapeutics™ introduces YntraDose® – an innovative Yttrium-90 microsphere radiotherapy solution for the targeted and personalised treatment of solid tumours
By offering a novel easy-to-use interventional oncology treatment option YntraDose is set to become the new standard of care for a wide range of solid tumour cancer patient groups where current approaches fall short.
Technology
The YntraDose radiotherapy platform is set to enable an entirely new treatment option for the benefit of patients and healthcare professionals alike.

Clinical Data
YntraDose has demonstrated preliminary safety and effectiveness in clinical use. Hear what the clinicians have to say about the potential of our technology.

Pipeline
YntraDose is inherently versatile and has the potential to treat a wide range of solid tumour cancer patient groups.

Leadership Team
Meet BetaGlue’s leadership team, main board and clinical advisory board.

Clinical workflow
-
Plan
1Locate lesion or tumour injection site.
-
Prepare
2YntraDose-90 added to the YntraDose-Glue syringe.
-
Treat
3Attached YntraDose-Deliver injection system to YntraDose Syringe.
-
Assess
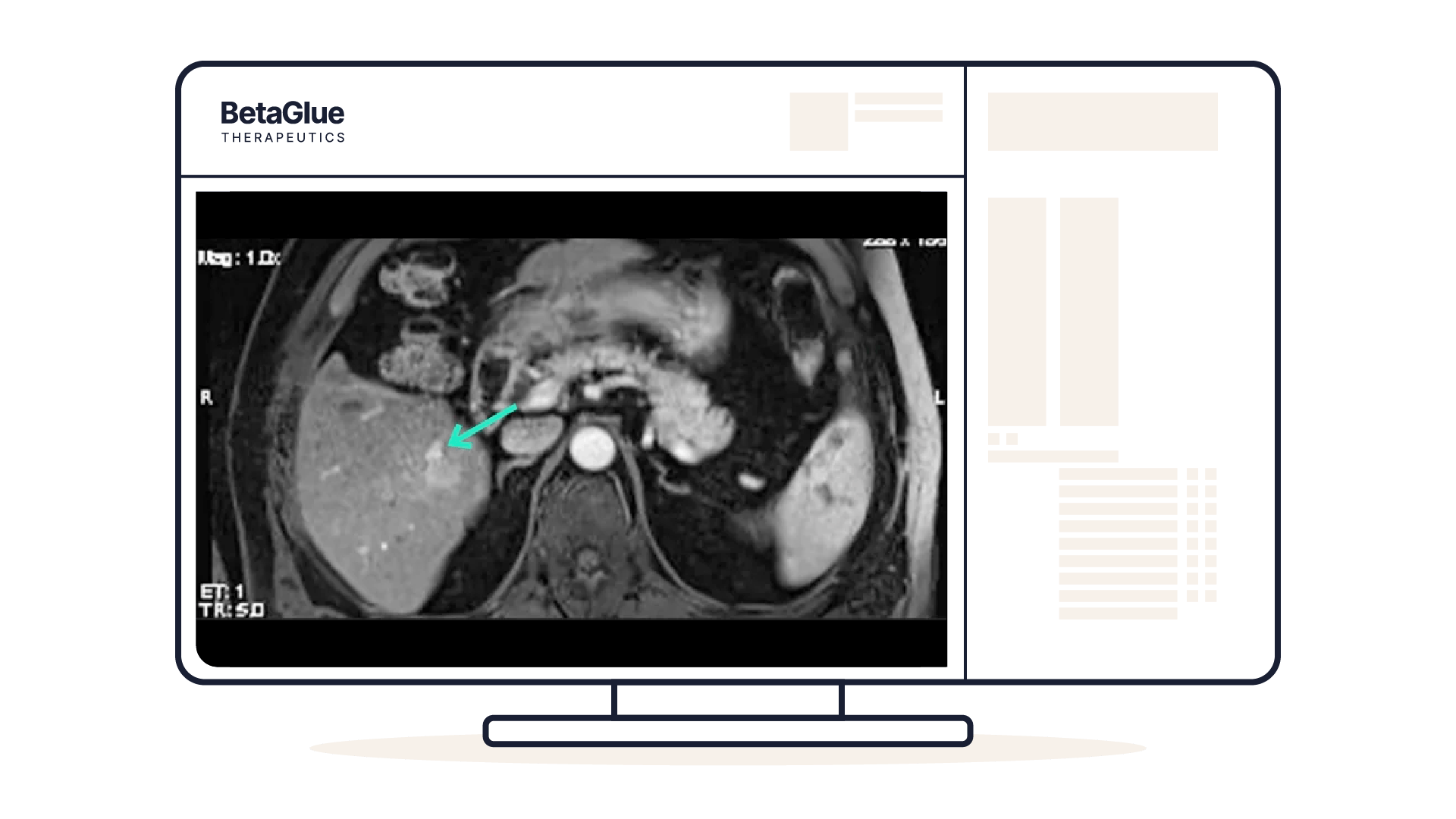
4Assess focalized signal of implantation of YntraDose into injection site.
Why we’re here
Today, radiotherapy treatment options have varying impact. Stereotactic Body Radiotherapy (SBRT) and Proton Beam Radiotherapy (PBRT), face challenges associated with internal organ movement and patient throughput. They also require substantial investment in specialised equipment and infrastructure, making them less accessible.
YntraDose represents a ground-breaking solution by circumventing these limitations.
It presents a potential new standard of care that aims to enhance treatment efficacy, reduce side effects, and make personalised cancer treatment more accessible to patients worldwide.

The impact of the clinical benefits for patients thanks to this new personalised radiotherapeutic treatment option are potentially broad.
Prof. Jafar Golzarian Our mission
By offering a novel easy-to-use interventional oncology treatment option YntraDose is set to become the new standard of care for a wide range of solid tumour cancer patient groups where current approaches fall short.
Contact us
To find out more about our pipeline, or to work for us, or to understand YntraDose further, get in touch with us